Smile Design: Crafting the Perfect Smile for You
Smile design is a customized treatment plan that focuses on improving the appearance of your teeth, gums, and overall smile. Whether you have chipped, crooked, discolored, or missing teeth, smile design uses a combination of cosmetic and restorative dentistry techniques to create a balanced, natural-looking smile that suits your face.


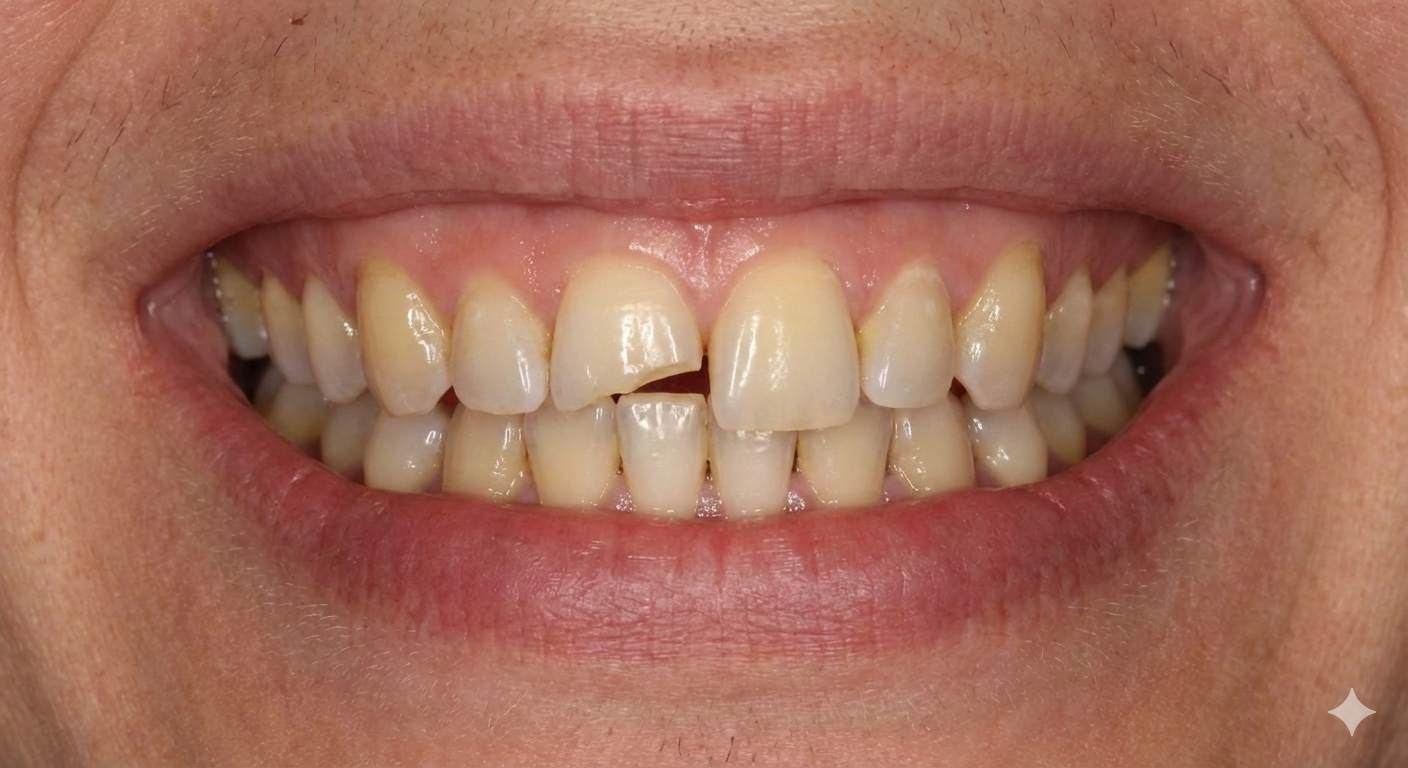
Smile Design Makeover
An uneven or discolored smile can affect confidence; with smile design, you’ll achieve a balanced, beautiful smile tailored just for you.


